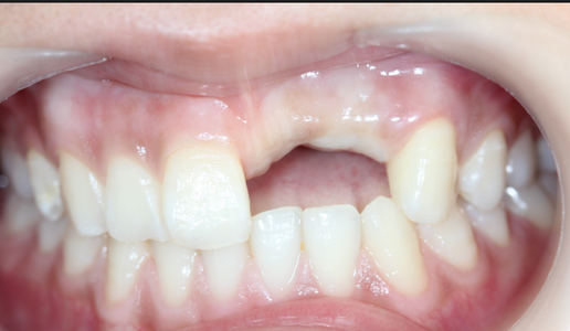
生活中我们遇到各种的情况都会让患者非常的苦恼,所以如果遇到牙齿缺失这些严重的问题还是应该要及时的进行修复的。但是有些人却不以为然觉得只是缺失一颗两颗牙并不会造成太大的影响,但是事实上这些问题都会给患者带来很大的危害,那么牙齿缺失后会有哪些危害呢?>>点击在线咨询详情<<

牙齿缺失后会有哪些危害呢?>>点击在线咨询详情<<
1、牙齿缺失后若较长时间不修复邻近的牙齿由于失去了依靠和约束会变得倾斜,易造成咬颌功能的紊乱。>>点击在线咨询详情<<
2、牙齿全部缺失后会使整个人看起来会比同龄人苍老许多。>>点击在线咨询详情<<

3、牙齿缺失后会使原本良好的咬颌关系发生变化,由于余留牙之间有效功能面积相应减少,咀嚼效能降低。>>点击在线咨询详情<<
4、牙齿缺失后两边的牙齿会在牙龈中变得倾斜不正,使牙齿逐渐松动导致部分牙齿脱落。>>点击在线咨询详情<<